die neusten Fälle

Total Prothese

Total-Prothese

Total-Prothese

Zirkon-Kronen

Steg-Prothese

Prothese auf Implantaten

Frontzähne mit Keramik-Veneer's

Frontzähne mit Keramik-Veneer's und Kronen

Total-Prothesen

Total-Prothesen
Künstler: Tayfun Kadik
Gerüst: CoCr, Lasermelt
Farbwahl: im Labor
Wachs-Einprobe: im Labor
Vorgehensweise: Modelle OK-UK mit Unterfütterungsabdruck,Biss, ->Wachseinprobe -> opaquern -> Polimerisation zahnfarbern -> Polimerisation rosa-> Abgabe im Labor -> Schlusskontrolle in der Praxis

Zirkon-Kronen 13 - 23

OK Front mit geschichteten Kronen 13,12,11,21,22,23
Künstlerin: Doris Spalinger
Gerüst: Zirkon gefräst (Priti-Dental)
Keramik: GC Initial Zirkon
Farbwahl: in der Praxis
Rohbrandeinprobe: im Labor
Charakterisierung / Formdefinition: im Labor
Vorbereitung: gesäubert
Vorgehensweise: Modelle OK-UK, Wax-up->Patientenbesprechung, Eierschalen-Provisorien,
Rohbrandeinprobe-> Fertigstellung mit Patient

.

.

.

.

Total-Prothesen mit Gerüst über Stege


Arbeit: Neuanfertigung da Prothesen ohne Gerüste hergestellt wurden und der Patient diese immer wieder zum bersten bringt.
Wunsch: Stabiler, natürlicher, der früheren Zähne entsprechender Zahnersatz
Künstler: Tayfun Kadik
Gerüst: Design mit 3shape Software by Renzo Trachsler
Fertigung: CoCr Lasermelting by I-Prodens
Vorbereitung: gestrahlt, silanisiert, opaquert
Vorgehensweise: Wachseinprobe, Design mittels Doppelscanning, überarbeiten, grundieren, opaquern,
1. zahnfarbig "Stopfen" nachbearbeiten
2. rosa "Stopfen"
Zähne: Heraeus Premium

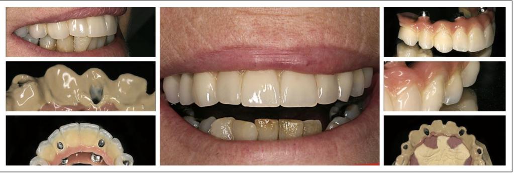
OK Total-Prothese auf 4 Implantaten

Schweden - Brücke
Künstler: Tayfun Kadik
Gerüst: Design mit abgewinkelten Schraubenkanälen by Renzo Trachsler
Fertigung:CoCr Lasermelting by I-Prodens
Vorbereitung: gestrahlt, silanisiert, opaquert
Vorgehensweise: Wachseinprobe, Design mittels Doppelscanning, überarbeiten, grundieren, opaquern,
1. zahnfarbig "Stopfen" nachbearbeiten
2. rosa "Stopfen"
Zähne: Heraeus Premium

OK Front mit geschichteten Veneers 13,12,11,21,22,23


Künstlerin: Doris Spalinger
Press-Rohling: e-max (Licium-Disilikat)
Keramik: GC Initial Lisi
Farbwahl: in der Praxis
Rohbrandeinprobe: im Labor
Charakterisierung/Formdefinition: im Labor
Vorbereitung: geätzt
Vorgehensweise: Modelle OK-UK, Wax-up->Patientenbesprechung, Eierschalen-Provisorien,
Rohbrandeinprobe-> Fertigstellung mit Patient

OK Front mit geschichteten Veneers und Kronen 13,12,11,21,22,23


Künstlerin: Doris Spalinger
Press-Rohling: e-max (Licium-Disilikat)
Keramik: GC Initial Lisi
Farbwahl: in der Praxis
Rohbrandeinprobe: im Labor
Charakterisierung/Formdefinition: im Labor
Vorbereitung: geätzt
Vorgehensweise: Modelle OK-UK,
Wax-up->Patientenbesprechung,
Eierschalen-Provisorien,
Rohbrandeinprobe-> Fertigstellung mit Patient